ЗАПИСАТЬСЯ ОНЛАЙН
Посещая сайт krutov-clinic.ru вы соглашаетесь на использование постоянных cookie-файлов, вы можете изменить настройки своего компьютера, чтобы эти cookie-файлы не сохранялись.
OK
Записаться
к врачу

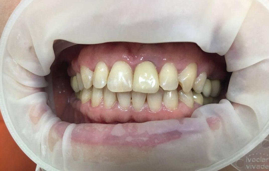
Металлокерамические и Безметалловые коронки

В современном зубном протезировании металлокерамика и керамика являются одними из наиболее популярных материалов. Однако едва ли их можно считать взаимозаменяемыми вариантами – в каждом конкретном случае индивидуально определяется подходящий материал, ведь безметалловая керамика и металлокерамика имеют существенные функциональные и конструкционные отличия.
Металлокерамические коронки могут устанавливаться на любые зубы, в том числе фронтальные. Сегодня это один из самых распространенных материалов для протезирования зубов. Конструктивно он представляет собой металлический каркас, невидимый для глаза после установки, и керамическое внешнее покрытие, которое имитирует эмаль зуба.
Металлокерамические коронки
Сочетание прочности металла и эстетики керамики
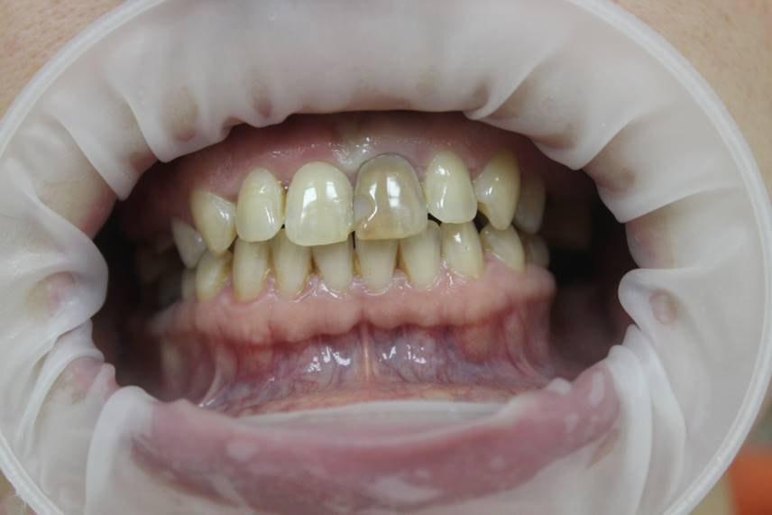
Безметалловые керамические коронки на зубы ценятся благодаря своим высоким эстетическим свойствам. Изготовленные из фарфора, они полупрозрачны для света, т.к. не имеют непрозрачных металлических вставок.

Благодаря этому керамические коронки хорошо имитируют зубы, что особенно важно при протезировании передних зубов.

Циркониевый каркас производится при помощи цифровых технологий и техники компьютерного фрезерования, что исключает неточности в изготовлении. Благодаря этому каркас коронки точнее сидит на зубе и сохраняет его целостность долгие годы. А отсутствие металла в конструкции исключает ржавчину, потемнение десны, а также ее отхождение от края коронки.
Безметалловые коронки
Естественный цвет коронок за счет отсутствия металлических вставок