ЗАПИСАТЬСЯ ОНЛАЙН
Посещая сайт krutov-clinic.ru вы соглашаетесь на использование постоянных cookie-файлов, вы можете изменить настройки своего компьютера, чтобы эти cookie-файлы не сохранялись.
OK
Записаться
к врачу

Пародонтология

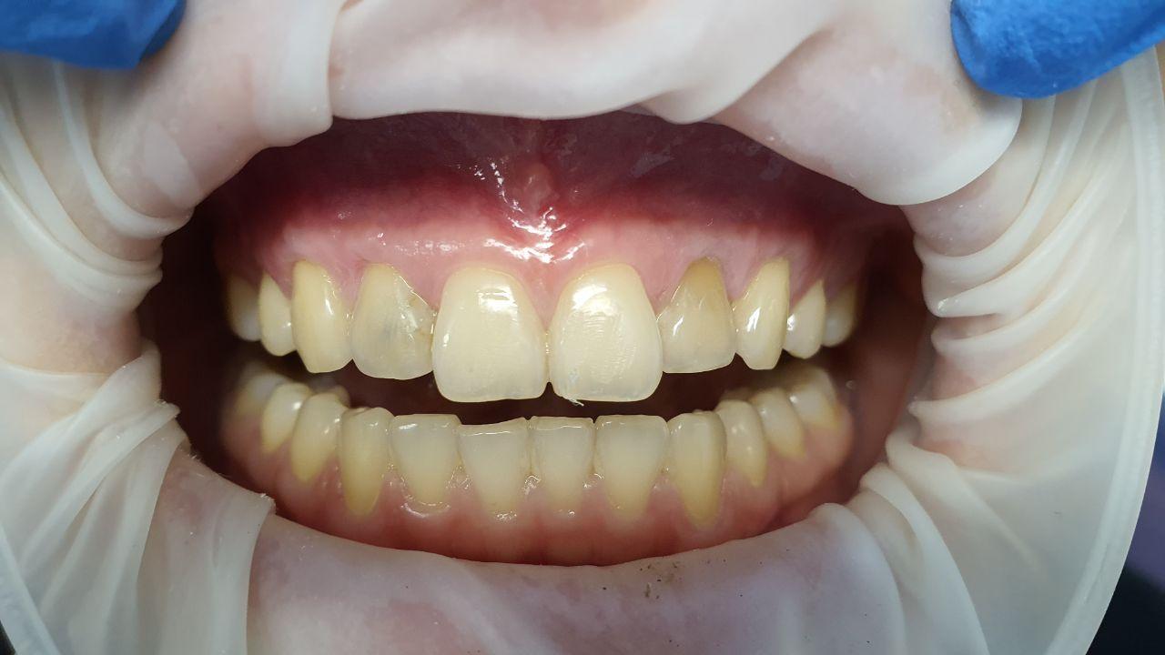
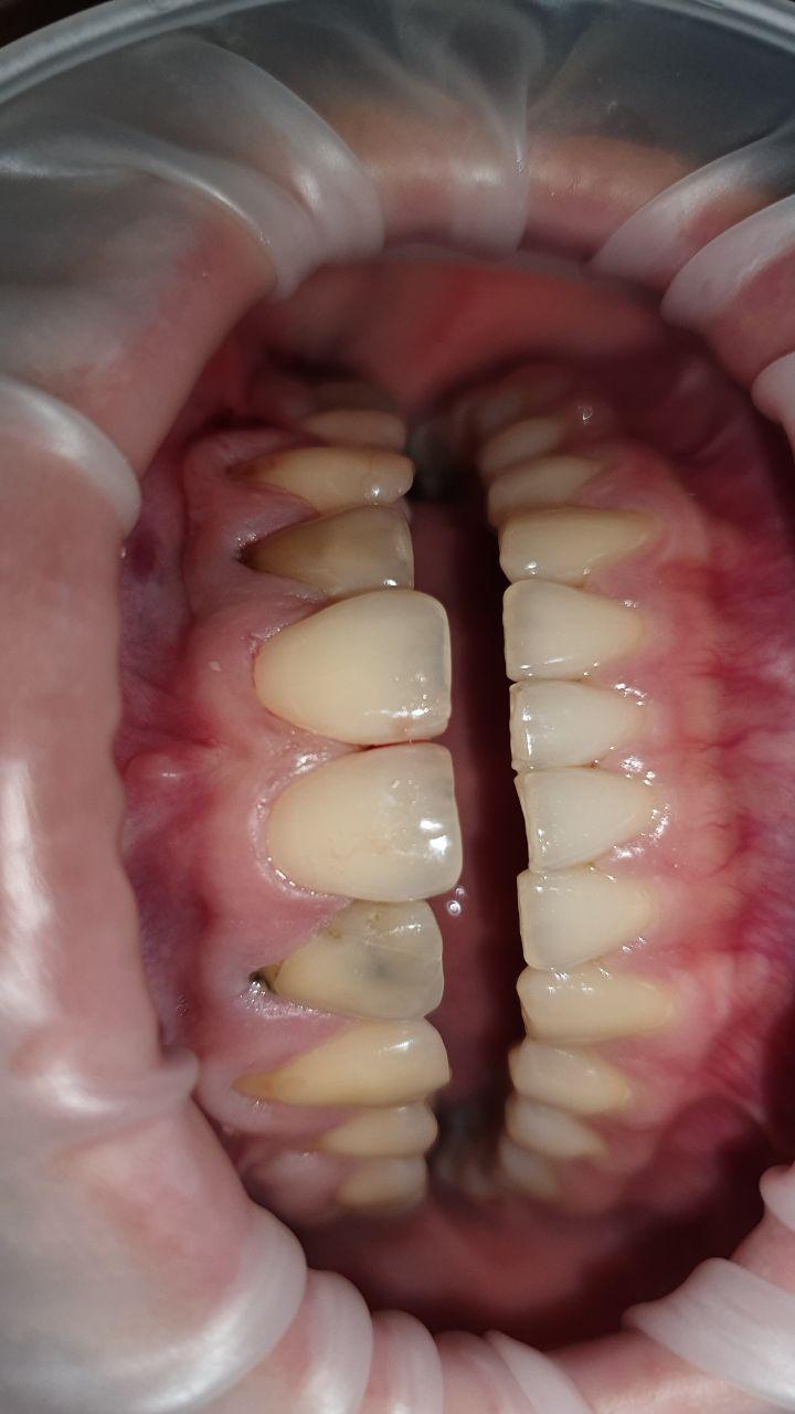
Пародонт- это комплекс тканей, которые окружают зуб, обеспечивают его фиксацию в челюсти и функционирование.

Гингивит- воспаление десны, обусловленное неблагоприятным воздействием местных и общих факторов и протекающее без нарушения целостности зубодесневого нарушения. Гингивит чаще наблюдается у детей и лиц молодого возраста, также у беременных.

Пародонтит- воспаление десен с нарушением целостности зубодесневого соединения, сопровождающееся образованием патологического кармана и убылью костной ткани. Поражает практически все возрастные группы населения, в том числе молодых людей и даже детей. Именно они приводят чаще всего к потере зубов вследствие выраженного деструктивного процесса, обусловливая стойкие нарушения функции зубочелюстной системы.
- Кровоточивость
- Гиперемия и отек десны
- Чувство зуда
- Подвижность зубов
- Обнажение корней зубов
Жалобы при заболеваниях пародонта
- обучение гигиене рта
- подборе индивидуальных средств гигиены
- контролируемая чистка зубов
Профилактика и лечение
Основным профилактическим мероприятием в лечении заболевании рта является:
Основным консервативным лечением заболеваний пародонта является:
- проведение профессиональной гигиены рта (ультразвуковая чистка зубов, Air-flow, полирование зубов, покрытие фтор-лаком),
- санация (кюретаж) пародонтальных карманов,
- местная противовоспалительная процедура,
- антибактериальная терапия,
- проведение лоскутной операции
- избирательное пришлифовывание,
- шинирование зубов,
- терапевтическое лечение,
- ортопедическое лечение,
- ортодонтическое лечение
- хирургическое лечение,
- лечение общесоматического профиля у врачей соответствующей специальности.

Кюретаж пародонтальных карманов- процедура по удалению поддесневых зубных отложений (т.е. микробного налета) с последующим сглаживанием поверхности корня, которая способствует восстановлению прикрепления десны к корню зуба. Чаще, процедура проводится под анестезией. Для поддержания здоровья десен процедуру необходимо проводить раз в 6 месяцев.
При необходимости